استسقاء المخ Hydrocephalus، هو تراكم السائل الدماغي الشوكي داخل المخ يتسبب هذا في ارتفاع الضغط داخل الجمجمة. قد يعاني كبار السن المصابين باستسقاء المخ من الصداع، ازدواج الرؤية، عدم الاتزان، سلسل البول، تغيرات في الشخصية، أو التخلف العقلي. لدى الرضع، قد يؤدي استسقاء المخ إلى زيادة في حجم الرأس. وتتضمن الأعراض الأخرى القيء، الأرق، النوبات، والشخوص بالعينين لأسفل
قد يحدث استسقاء المخ نتيجة لعيوب خلقية أو لعيوب تكتسب لاحقاً. ومن العيوب الخلقية المرتبطة باستسقاء المخ تشوهات الأنبوب العصبي وتلك التي تتسبب في تنبيب المسال. وتتضمن الأسباب الأخرى التهاب السحايا، أورام المخ، الإصابات الدماغية الرضخية، النزيف داخل البطين، والنزيف تحت العنكبوتية. هناك أربعة أنواع من استسقاء المخ، الاستسقاء المتصل، الاستسقاء الغير متصل، الاستسقاء التعويضي، استسقاء الضغط الطبيعي.
يشخص استسقاء المخ بالفحص البدني والتصوير الطبي
يعالج استسقاء المخ
بالاستئصال الجراحي للتحويلة الدماغية. ولدى بعض الأشخاص خياراً آخر وهو إجراء يسمى فغر البطيني الثالث
. قد تتضمن الأعراض الناجمة عن التحويلات overdrainage, underdrainage، الفشل الميكانيكي، العدوى، أو الإنسداد. وقد يستلزم استبدالها قد يسفر العلاج بالتحويلات عن نتائج متفاوتة، لكن الكثير من الحالات تمارس حياتها بطريقة طبيعية. قد يؤدي عدم العلاج إلى الوفاة أو الإصابة بإعاقة دائمة.
يصاب باستسقاء المخ من 1-2 لكل 1.000 مولود تقريباً. قد تكون المعدلات في البلدان النامية أعلى من ذلك يقدر أن استسقاء الضغط الطبيعي قد يصيب حوالي 5 لكل 100.000 شخص، وتزيد المعدلات بتقدم العمر وصف أبو قراط استستقاء المخ منذ أكثر من 2.000 سنة.
آلية المرض
رسم ثلاثي الأبعاد يوضح شكل وموقع الجهاز البطيني بالمخ (باللون الأزرق) ومن حوله نسيج المخ (بالبني الباهت).
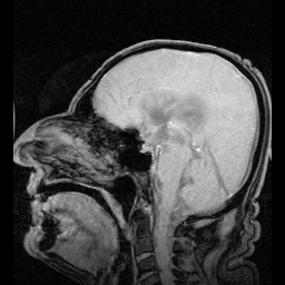
أشعة رنين مغناطيسي على المخ تُظهر تحرك السائل الدماغي الشوكي داخل الجهاز البطيني في منتصف نسيج المخ تقريبًا.
نزيف تلقائي داخل نسيج الدماغ وداخل البطينات لمريض يعاني من استسقاء الرأس كما يظهر في الصورة المقطعية.
يحتوي المخ على مجموعة مكونة من أربعة بطينات (حجرات أو تجاويف صغيرة) كلها تحتوي على السائل الدماغي الشوكي فيما يعرف بالجهاز البطيني للمخ. تتصل البطينات الأربعة ببعضها وبالقناة المركزية الموجودة في منتصف الحبل الشوكي ويتم بداخل البطينات الأربعة وبشكل مستمر تكوين سائل مهم من سوائل الجسم يسمى السائل الدماغي الشوكي.
في الظروف العادية يتحرك السائل الدماغي الشوكي في البطينات الدماغية، والحيز تحت العنكبوتية، وقناة داخل النخاع الشوكي، ويعمل هذا السائل على حماية المخ من صلابة وقسوة عظام الجمجمة حيث يعمل كمصدات للضربات والصدمات. وبالإضافة إلى الحماية، فإن هذا السائل يعمل كوسيط ناقل للمواد المغذية للمخ والمواد التي يتخلص منها.
ويُنتج هذا السائل بمعدل يومي يتراوح بين 50 – 500 ملي لتر حسب العمر، كما أنه يمتص ويُنزَحُ من خلال الدورة الدموية بنفس المعدل. وبذلك يبقى حجمه ثابتًا لا زيادة فيه ولا نقص
ولكن لأسباب مرضية أو اختلالات في التكوين قد يحدث أن تتعطل دورة السائل الدماغي الشوكي، ويتراكم السائل في بطينات الدماغ ويضغط على الأنسجة المحيطة به بما في ذلك الدماغ والقحف.
وفي ظروف أخرى يمكن أن ينشأ استسقاء الرأس عن تكوين السائل الدماغي الشوكي بمعدلات أكبر من الطبيعية فيحدث عدم التوافق بين إنتاج السائل النخاعي وامتصاصه. مما يسبب تراكمه داخل البطينات الدماغية أيضًا. بناءً على الآلية، استسقاء الرأس يمكن أن يصنف إلى استسقاء رأس متصل وغير متصل (انسداد). كلا الشكلين يمكن أن يكون إما خلقياً أو مكتسباً.
الاسباب
بتفصيل أكثر؛ يفرز السائل الدماغي الشوكي من الضفيرة المشيمية (Choroid plexus) الموجودة في الجزء الداخلي من البطين الجانبي وسطح البطين الثالث والرابع، ويأخذ السائل دورته داخل الدماغ من البطين الثالث ثم البطين الرابع ومن خلال ثقبي لوشكا وماجندي (Lusaka & Magandi) إلى المنطقة تحت العنكبوتية (Subarachroid)، حيث يمتص عن طريق الحبيبات والزغيبات العنكبوتية
تبلغ كمية السائل الدماغي الشوكي في الكبار 135 مليمتر، ويبلغ الإنتاج اليومي نصف لتر، ويكون الضغط العام للسائل 100 ملليمتر من الماء. في حال انغلاق الطريق الذي يسلكه السائل، فإن المنطقة السابقة للانغلاق سوف تتوسع ويكبر حجمها، مما يضغط على الدماغ والألياف العصبية. وقد يحدث هذا الانغلاق لأسباب خلقية أو أسباب مكتسبة- العلامات والأعراض
أعراض زيادة الضغط داخل القخف الدماغي قد تشمل الصداع، الاستفراغ، الغثيان، وذمة الحليمة، النعاس أو الغيبوبة. ارتفاع الضغط داخل القحف الدماغي قد يؤدي إلى فتق في أجزاء من الدماغ، وهذا يولد ضغطاً على جذع الدماغ والذي من الممكن أن يهدد الحياة. ثلاثي حكيم يتكون من اختلال في المشية، التبول اللاإرادي والخرف هي مظاهر خاصة لنوع مميز من استسقاء الرأس يسمى باستسقاء الرأس ذو الضغط الطبيعي. قد يحدث عجز عصبي موضعي أيضاً, مثل شلل في العصب الدماغي المبعد وشلل بالقدرة على النظر بشكل عمودي (متلازمة بارنويد بسبب الضغط على اللوحة الرباعية حيث توجد المراكز العصبية التي تنسق ترافق الحركة العمودية في كلتا العينين). الأعراض تعتمد على سبب الانسداد، عمر الشخص، وكمية الانسجة الدماغية التي تضررت نتيجة التورم.
في الأطفال الذين يعانون من استسقاء الرأس، السائل النخاعي يتراكم في الجهاز العصبي المركزي مما يتسبب في انتفاخ اليافوخ (بقعة لينة)، والرأس يصبح حجمه أكبر مما هو متوقع. ومن الأعراض التي يمكن أن تظهر في وقت مبكر:- العيون المحدقة للأسفل
- التهيج
- التشنجات
- انفصال عظام الجمجمة عن بعضها
- النعاس
- الاستفراغ
- الأعراض التي يمكن أن تحدث في الاطفال الأكبر سناً تشمل:
- بكاء عالي وشديد النبرة.
- تغيرات في الشخصية، الذاكرة، أو القدرة على التفكير.
- تغيرات في مظهر الرأس وتباعد العينين.
- عيون مغمضة أو حركات لاإراية في العينين.
- صعوبة في التغذية.
- النوم المفرط.
- الصداع.
- التهيج، ضعف السيطرة على الأعصاب.
- فقدان السيطرة على التبول (تبول لاإرادي).
- فقدان التناسق وصعوبة في المشي.
- تشنج في العضلات.
- تباطئ النمو (الأطفال 0-5 سنوات).
- حركة بطيئة أو مقيدة.
التشخيص
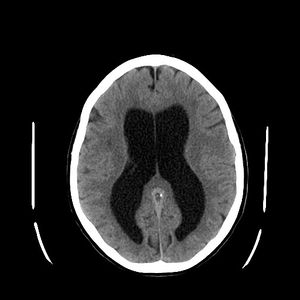
استسقاء الرأس كما يظهر في الأشعة المقطعية للدماغ، يشير اللون الأسود في منتصف نسيج المخ إلى تضخم حجم بطينات المخ حيث أنه في الطبيعي يكون هذا الحيز أصغر حجمًا.
يعتمد التشخيص على التاريخ المرضي والفحص السريري، ومعرفة الحالة المصاحبة، بالإضافة إلى بعض الفحوصات الإشعاعية مثل :
- الأشعة المقطعية : وتعطي صور واضحة عن الحالة ومكان الانسداد.
- الأشعة فوق الصوتية : وتعطي صورة عن تطور حجم البطين وتستخدم في المتابعة.
- مقياس الضغط داخل الجهاز البطيني للمخ.
- وقد يحتاج المريض إلى اختبار بزل للسائل الدماغي الشوكي للتأكد من تشخيص التهاب للسحايا والتعرف على نوعه
العلاج التحويلة الدماغية
رسم يوضح تركيب التحويلة الدماغية
رضيع يتعافى من الجراحة
- في حالات وجود انسداد في طريق الدورة الطبيعية للسائل، فإن إيجاد مخرج لهذا السائل مهم جداً، وحيث أنه لا يمكن التدخل لعلاج الانسداد الموجود، فإن إيجاد مخرج آخر لتقليل الضغط داخل الدماغ مهم، حيث يقوم جراح الأعصاب بعمل توصيل بين بطينات المخ وتجويف القلب أو تجويف البطن لتصريف السائل فيما يعرف بالتَحْويلة الدماغِية (Cerebral shunt)
.
- عادة تقوم التحويلة بعملها خير قيام ولا يؤثر أنبوب التحويلة على انشطة الطفل المعتادة، وهو لا يتضرر بالعادة عند وقوع الطفل أو تعرضه للإصابة ولكن هناك مشاكل يجب الانتباه لها وطلب استشارة الطبيب فورًا في حالة وقوعها مثل
- الانسداد : لأي سبب مما يستدعي تغييرها
- الالتهابات : تظهر على شكل ارتفاع درجة حرارة الطفل والقيء و الصداع وتورم مكان القسطرة مما يستدعي إلى العلاج المركز وقد يحتاج الأمر إلى إزالة القسطرة خلال مدة العلاج ثم تركيبها مرة أخرى.
- اختلال عمل القسطرة كزيادة تصريف السائل أو نقص تصريف السائل.






رد مع اقتباس