ما هي أعراض تضخم القلب؟
في المراحل الأولية، قد لا يكون لدى المرضى أعراض. أو لديك أعراض بسيطة فقط ولكن مع استمرارها لفترة طويلة، تبدأ الأعراض في أن تصبح أكثر خطورة، والأعراض الموجودة هي:
التعب بسهولة، واللهاث، وصعوبة التنفس
التعب، وخفقان القلب، والدوخة
تورم الساقين، وزيادة الوزن
اضطراب نبضات القلب
السعال المتعب
ضيق في الصدر عند الاستلقاء
ومع ذلك، إذا كان لديك ألم في الصدر ضيق شديد في التنفس، ألم في الصدر، إغماء، يجب مراجعة الطبيب فوراً.
تشخيص تضخم القلب
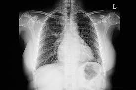
تشخيص تضخم القلب كان من الضروري إجراء أشعة سينية على الصدر لكل من الرئتين والقلب. للتحقق من وجود تشوهات في القلب قد يفكر الطبيب في استخدام فحص القلب باستخدام جهاز صدى عالي التردد. (مخطط صدى القلب) لمعرفة خصائص حجرات القلب. وظيفة عضلة القلب وصمامات القلب ضغط القلب بما في ذلك مخطط كهربية القلب. مخطط كهربية القلب (مخطط كهربية القلب) للتحقق من عدم انتظام ضربات القلب بالإضافة إلى ذلك، يمكن إجراء اختبارات الدم، واختبارات التصوير بالرنين المغناطيسي ، والأشعة المقطعية ، وخزعات القلب، اعتمادًا على نصيحة الطبيب. للمساعدة في إجراء التشخيص الصحيح يؤدي إلى العلاج المناسب
تضخم حالة القلب.اعتني بها قبل أن تصبح خطيرة.
مبادئ توجيهية لعلاج تضخم القلب
علاج تضخم القلب هناك العديد من الطرق لعلاج السبب، بما في ذلك الأدوية وتعديل السلوك واستخدام الأجهزة الخاصة بتضخم القلب للحفاظ على نبض القلب بشكل طبيعي. استخدام جهاز مزيل رجفان القلب الأوتوماتيكي المزروع في الصدر للتحقق من إيقاع القلب وتحفيز القلب على النبض بشكل طبيعي. وكذلك جراحة صمامات القلب وجراحة مجازة الشريان التاجي للسماح للمرضى بالعودة إلى حياتهم الطبيعية.
من هو المعرض لخطر تضخم القلب؟
الأشخاص المعرضون لخطر تضخم القلب هم كبار السن والمدخنين والأشخاص الذين يتعرضون لدخان السجائر. مدمنو المخدرات والكحول مرضى السمنة ارتفاع ضغط الدم، والسكري، وارتفاع نسبة الدهون في الدم. أمراض القلب الخلقية، وأمراض صمامات القلب، وفقر الدم، بما في ذلك أولئك الذين لديهم تاريخ عائلي للإصابة بأمراض القلب وأمراض الشريان التاجي.
منع تضخم القلب
الوقاية من تضخم القلب ويمكن القيام بذلك عن طريق الامتناع عن التدخين. تجنب دخان السجائر تناول طعامًا مغذيًا اتمرن بانتظام السيطرة على وزنك لتلبية المعايير. وكذلك علاج الأمراض التي تسبب تضخم القلب، مثل ارتفاع ضغط الدم مرض الشريان التاجي، مرض السكري، ارتفاع الكولسترول بالإضافة إلى ذلك، عند الأشخاص الذين لديهم تاريخ عائلي للإصابة بأمراض القلب. أو الذين تزيد أعمارهم عن 35 عامًا يجب أن يخضعوا لفحص طبي كل عام.
.





رد مع اقتباس